In Autoimmune Disease, Organs May Lure the Immune System into an Attack was reported by Stephani Sutherland for ScientificAmerican.com, September 2021. New evidence indicates that target cells may play a role in their own destruction.
Over the course of several decades Decio Eizirik, endocrinologist in Belgium, and a number of other researchers have become convinced that beta cells can actually trigger the disease. The way beta cells do this began to emerge in the late 1990s, when Eizirik measured levels of chemical signals from the cells in the pancreas. Those experiments showed that in certain circumstances the cells produce their own inflammatory chemicals, which act as flares that draw the attention, and ire, of immune system cells.

Exactly what sets off these flares is still not clear—it could be a viral infection or some kind of damaging stress—but this work and more recent experiments by several other scientists strongly suggest that beta cells play an active role. “It all starts at the target tissue,” says Sonia Sharma, an immunologist at the La Jolla Institute for Immunology in California. “What we know now is that the target tissue is not merely a bystander; it’s an active participant in the damaging inflammation.”
Type 1 diabetes is just one autoimmune disease, but now evidence is starting to suggest that other cellular targets in other ailments also can bring about their own demise. Recent genetic studies indicate that cells afflicted in rheumatoid arthritis and multiple sclerosis have overactive genes that code for disease-related proteins, and immune cells home in on such targets. Sharma says there could be 10 steps between an initiating event and the ultimate attack on a target tissue by immune system cells. “We’ve been looking at step 10, whereas we should be looking at steps one, two and three,” she says. “It’s almost like we’ve been working backwards.” If researchers could understand those early steps, she says, that could lead to better treatments, cures or even measures to prevent disease.
Small protein protects pancreatic cells in model of type 1 diabetes was written by Beth Newcomb for MedicalExpress.com, 16 Autust 2021.
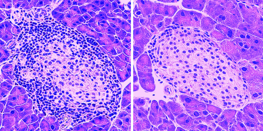
A new study has shown that treating type 1 diabetes-prone mice with the small protein MOTS-c prevented the immune system from destroying insulin-producing pancreatic cells, effectively preventing the onset of the autoimmune disease. The small protein that first made headlines as an “exercise mimetic” increasingly appears to also have a big role in regulating the immune system, said Assistant Professor of Gerontology Changhan David Lee, co-corresponding author of the study.
[In mice that had been genetically engineered to develop autoimmune diabetes, “killer” T-cells (darker spots) infiltrate and destroy insulin-producing cells in the pancreas (left). Treatment with injections of MOTS-c reduced T-cell infiltration and prevented the onset of the disease (right). Credit: University of Southern California]
This potential immune-regulating role of MOTS-c highlights possible new targets for treatment of autoimmune diseases beyond type 1 diabetes, Lee explained. “It’s been thought for the longest time that the immune system is exclusively encoded in the nuclear genome,” Lee said. “Now we’re bringing into play an immune regulator that’s encoded in the mitochondrial genome.”
MOTS-c is one of several more recently identified hormones that are encoded in the DNA of mitochondria, the “powerhouses” of cells that convert food into energy; most other hormones are encoded in DNA in the nucleus. Lee and Professor Pinchas Cohen, dean of the USC Leonard Davis School, first described MOTS-c in 2015, along with its role in restoring insulin sensitivity and counteracting diet-induced and age-dependent insulin resistance—effects commonly associated with exercising. The team has also studied MOTS-c’s role in intracellular communication as well as how the hormone is expressed in the brain to help regulate metabolism.
Read more: Small protein protects pancreatic cells in model of type 1 diabetes
Gastroparesis and Hybrid Closed-Loop Systems was shared by Marissa Town for ChildrenwithDiabetes.com, 18 August 2021.
Sometimes, despite all the hard work and attempts to stay healthy, diabetes can cause complications, including gastroparesis, which is a type of neuropathy that causes delayed emptying of the stomach. It causes severe symptoms such as nausea, vomiting and feeling full after very little is eaten, as well as causing issues with blood glucose levels. Since the food consumed is not absorbed as effectively as without the condition, it causes significant challenges with matching insulin dosing to the food eaten. One of the big challenges is erratic highs and lows after insulin is taken, which also causes more distress to the person with diabetes (PWD).
Researchers at Cambridge University reviewed and analyzed the closed-loop data for seven patients with type 1 diabetes and gastroparesis. The results were very promising showing an increase in the time in range and a decrease in the time spent with high blood glucose levels.
One of the systems used by PWD with gastroparesis includes an option for “slowly absorbed meal” built into the algorithm. The same effects can also be achieved by using an extended bolus and both are helpful in managing the blood glucose after meals for people with gastroparesis. This same method can be used when matching insulin to meals with higher fat and protein contents and can be done with open-loop systems as well.
Read more: Gastroparesis and Hybrid Closed-Loop Systems
Newly discovered proteins provide protection against progression of kidney disease in diabetes was published by Joslin Communications, 30 June 2021.
Elevated levels of three specific circulating proteins are associated with protection against kidney failure in diabetes, according to research from the Joslin Diabetes Center that will be published 30th June in Science Translational Medicine. “As well as acting as biomarkers for advancing kidney disease risk in diabetes, the proteins may also serve as the basis for future therapies against progression to the most serious types of kidney disease,” said Andrzej S. Krolewski MD, PhD, senior author on the publication, senior investigator at Joslin Diabetes Center and professor of medicine at Harvard Medical School. This would likely include the delay and prevention of end stage renal disease (ESRD), which is the most serious and advanced stage of diabetic kidney disease.
The study marks a move towards looking for markers associated with protection against, rather than increased individual risk, for the rapid progression of diabetic kidney disease. This should more directly derive potential targets for slowing progression since it is based on the thinking that individuals with slow progression will have protective factors of some sort.
Read more: Newly discovered proteins provide protection against progression of kidney disease in diabetes
Facebook and Google Will Lay 7500-Mile-Long Undersea Cable was reported by Ameya Paleja for InterestingEngineering.com, 17 August 2021. The service that will improve internet connectivity is expected to be online by 2024.
So why is this being posted here, in a Type 1 diabetes blog? Because all of our newer technologies will use internet connectivity … and it will become more and more important that these connections are fast and reliable.
In a bid to improve internet connectivity and reliability in the Asia-Pacific region, Facebook and Google have jointly announced the ‘Apricot’ undersea cable project. Scheduled to go online by 2024, the project will also improve the connectivity between Asia and North America, Google said in a recent blog post.
Apart from the two Big Tech companies, the project also involves some regional players, Facebook said in its press release. The 7456-mile (12,000 km) cable will connect six Asian countries that are Japan, Taiwan, Guam, the Philippines, Indonesia, and Singapore while sporting a configuration that offers flexibility in trunk and branch capacity, the social networking company said. The cables can support data transfer speeds of more than 190 terabits per second.
Earlier this year, Facebook had announced another undersea cable project consisting of two Trans-Pacific cables, Echo and Bifrost that would connect Singapore to North America and increasing the traffic capacity by 70 percent on this route, the company had stated. Together, these cables are expected to help meet the growing demand for broadband, 4G, and 5G services in the Asia region. Facebook has partnered with Google for the Echo cable but not Bifrost.
The first undersea cable was laid in 1858 to transmit telegraphic messages and needed help from governments in the US and the UK. In recent years, however, the task of laying the cables has been taken up by private enterprises. Google has a large network of 18 undersea cables that also keep its cloud services accessible from any part of the globe. Facebook has recently announced another undersea cable project to improve connectivity in Africa. After a lull during the pandemic, the undersea cable projects have picked up the pace with 80 percent of the projects being financed by Facebook and Google.
Read more: Facebook and Google Will Lay 7500-Mile-Long Undersea Cable




So my own beta cells started this mess? Wait till I talk to them. Now if I could just find them. Oh well, I will talk to Sheryl’s beta cells and lodge my complaint. But I suspect they will say what Sheryl will say. Talk to someone who cares. 🙂