New Systematic Review of Exocrine Pancreatic Insufficiency (EPI) In Type 1 Diabetes and Type 2 Diabetes – Focusing on Prevalence and Treatment by Dana Lewis for DIYPS.org, 13 July 2023.
I’m thrilled that the research I did evaluating the prevalence and treatment of EPI in both Type 1 diabetes and Type 2 diabetes (also presented as a poster at #ADA2023 – read a summary of the poster here) has now been published as a full systematic review in Diabetes Technology and Therapeutics.
If you don’t want to read the full paper, this is what I think you should take away from it as a person with diabetes or as a healthcare provider:
-
-
- What is EPI? Exocrine pancreatic insufficiency (known as EPI in some places, and PEI or PI in other places) occurs when the pancreas no longer produces enough enzymes to digest food. People with EPI take pancreatic enzyme replacement therapy (PERT) whenever they eat (or drink anything with fat/protein).
- If I have diabetes or treat people with diabetes, why should I be reading the rest of this about EPI? EPI often occurs in people with cystic fibrosis, pancreatitis, and pancreatic cancer. However, since these diseases are rare (think <0.1% of the general population even when these groups are added up together), the total number of people with EPI from these causes is quite low. On the other hand, EPI is also common in people with diabetes, but this is less well-studied and understood. This paper reviews every paper that includes data on EPI and people with type 1 diabetes or type 2 diabetes to help us better understand what % of people with diabetes are likely to face EPI in their lifetime.
- How many people with type 1 diabetes or type 2 diabetes (or diabetes overall) get EPI? EPI prevalence in diabetes varies widely, reported between 5.4% and 77% when the type of diabetes isn’t specified. For Type 1 diabetes, the median EPI prevalence is 33% (range 14-77.5%), and for Type 2 diabetes, the median is 29% (range 16.8-49.2%). In contrast, in non-diabetes control groups, the EPI prevalence ranges from 4.4% to 18% (median 13%). The differences in ranges might be due to geographic variability and different exclusion criteria across studies. Diabetes itself is prevalent in about 10% of the general population. As such, I hypothesize that people with diabetes likely constitute one of the largest sub-groups of individuals with EPI, in contrast to what I described above might be more commonly assumed.
- Is pancreatic enzyme replacement therapy (PERT) safe for people with diabetes? Yes. There have been safety and efficacy studies in people with diabetes with EPI, and PERT is effective just like in any other group of people with EPI.
- What is the effect of pancreatic enzyme replacement therapy (PERT) on glucose levels in people with diabetes? PERT itself does not affect glucose levels, but PERT does impact the digestion of food, which then changes glucose levels! So, most PERT labels warn to watch for hypoglycemia or hyperglycemia but the medicine itself doesn’t directly cause changes in glucose levels. You can read a previous study I did here using CGM data to show the effect of PERT actually causing improved glucose after meals in someone with Type 1 diabetes. It’s likely very individual depending on what they’re eating, insulin dosing patterns before, and whether they’re taking enough PERT to match what they’re eating. Note: based on the n=1 study above, and subsequent conversations with other people with diabetes, I hypothesize that high variability and non-optimal post-meal glucose outcomes may be an early ‘symptom’ of EPI in people with diabetes.
- How common is EPI (PEI / PI) compared to celiac and gastroparesis in Type 1 diabetes and Type 2 diabetes? As a person with (in my case, Type 1) diabetes, I feel like I hear celiac and gastroparesis talked about often in the diabetes community. I had NEVER heard of EPI prior to realizing I had it. Yet, EPI prevalence in Type 1 and Type 2 diabetes is much higher than that of celiac or gastroparesis!
This data emphasizes that endocrinologists and other diabetes care providers should be more prone to initiate screening (using the non-invasive fecal elastase test) for individuals presenting with gastrointestinal symptoms, as the rates of EPI in diabetes are much higher in both Type 1 and Type 2 diabetes than the rates of celiac and gastroparesis. - What should I do if I think I have EPI? Record your symptoms and talk to your doctor and ask for a fecal elastase (FE-1) screening test for EPI. It’s non-invasive. If your results are less than or equal to 200 (μg/g), this means you have EPI and should start on PERT. If you’re dealing with diarrhea, going on PERT may resolve or improve the diarrhea and improve the quality of the sample for the next test result. PERT doesn’t influence the test result, so you can start PERT and re-run the test at any time. Symptoms of EPI can vary. Some people experience diarrhea, while others experience constipation. Steatorrhea or smelly, messy stools that stick to the side of the toilet are also common EPI symptoms, as is bloating, abdominal pain, and generally not feeling well after you eat. If you’ve been diagnosed with EPI, you may also want to check out some of my other posts (DIYPS.org/EPI) about my personal experiences with EPI and also this post about the amount of enzymes needed by most people with EPI. You may also want to check out PERT Pilot, a free iOS app, for recording and evaluating your PERT dosing.
-
Read more: New Systematic Review of Exocrine Pancreatic Insufficiency (EPI)
Could dahlias be the next weapon against diabetes? by Robby Berman for MedicalNewsToday.com, 19 July 2023.
Dahlias, D. pinnata, are more than simply beautifully symmetrical flowers. A new study describes a trio of molecules found in the petals of these flowers that may improve blood sugar regulation in people with prediabetes and type 2 diabetes. During a randomized, controlled, cross-over clinical trial, the researchers found that an extract containing the three dahlia molecules significantly improved the study participants’ blood sugar regulation.
In 2015, the authors of the study, from the University of Otago in Aotearoa — the Maori name for New Zealand — established that a dietary flavonoid called butein could reduce brain inflammation and that this could improve blood sugar levels in people who have issues with blood sugar level control. The new study pinpoints the petals of the dahlia flower as a source of butein and two other molecules that boost its efficacy. Study author Dr. Alexander Tups said that the realization that dahlias might provide the butein for which his team had been searching was rather random. Over coffee, he mentioned it to a colleague, who then asked him, “Did you know that dahlias may contain that molecule?”
“This was a start of a fantastic journey: International dahlia experts were growing dahlias in the far South of New Zealand, and were happy to supply the flowers,” said Dr. Tups. “We could furthermore show that they [the molecules] helped reduce brain inflammation in mice and that the glucose-lowering effect was dependent on it acting in the brain,” said Dr. Tups. The team has since patented their discovery, published their findings, and brought an extract for improving blood sugar control to the market called Dahlia4. Dahlia4 is available in tablet form. It has not yet been evaluated by the U.S. Food and Drug Administration.
“We know that ‘brain inflammation’ is associated with many metabolic disorders, e.g., access to high energy/high-fat food, obesity, type 2 diabetes,” explained Dr. Thomas Lutz, full professor for veterinary physiology at the University of Zurich, who was not involved in the study. “The reduction of brain inflammation has been shown to improve/restore the sensitivity to various hormones involved in the physiological control of metabolism, in particular, insulin and leptin,” he continued. “This concept has been known for many years. The question was how it can be tackled in a way that is beneficial for the patients involved,” said Dr. Lutz.
Read more: Could dahlias be the next weapon against diabetes?
ON THE HORIZON: Volagidemab by Remd Biotherapeutics for Type 1 Diabetes (Juvenile Diabetes): Likelihood of Approval shared by GlobalData for pharmaceutical-technology.com, 31 May 2023.
Volagidemab is under clinical development by Remd Biotherapeutics and is currently in Phase II for Type 1 Diabetes (Juvenile Diabetes). According to GlobalData, Phase II drugs for Type 1 Diabetes (Juvenile Diabetes) have a 54% phase transition success rate (PTSR) indication benchmark for progressing into Phase III. Volagidemab (REMD-477, AMG-477) is under development for the treatment of type 2 diabetes, type 1 diabetes, myocardial infarction, systolic heart failure, and other indications. It is administered through a subcutaneous route. The drug candidate is a fully human antibody that binds and blocks signaling via the human glucagon receptor (GCGR). It was also under development for the treatment of obesity.
Read more: Volagidemab by Remd Biotherapeutics for Type 1 Diabetes
Drugmakers Are ‘Throwing the Kitchen Sink’ to Halt Medicare Price Negotiations by Sheryl Gay Stolberg and Rebecca Robbins for NYTimes.com, 23 July 2023.
The pharmaceutical industry, which suffered a stinging defeat last year when President Biden signed a law authorizing Medicare to negotiate the price of some prescription medicines, is now waging a broad-based assault on the measure — just as the negotiations are about to begin.
The law, the Inflation Reduction Act, is a signature legislative achievement for Mr. Biden, who has boasted that he took on the drug industry and won. Medicare is the federal health insurance program for older and disabled people; the provisions allowing it to negotiate prices are expected to save the government an estimated $98.5 billion over a decade while lowering insurance premiums and out-of-pocket costs for many older Americans.
On 7/18/23, Johnson & Johnson became the latest drugmaker to take the Biden administration to federal court in an attempt to put a halt to the drug pricing program. Three other drug companies — Merck, Bristol Myers Squibb and Astellas Pharma — have filed their own lawsuits, as have the industry’s main trade group and the U.S. Chamber of Commerce.
The suits make similar and overlapping claims that the drug pricing provisions are unconstitutional. They are scattered in federal courts around the country — a tactic that experts say gives the industry a better chance of obtaining conflicting rulings that will put the legal challenges on a fast track to a business-friendly Supreme Court.
Read more: Drugmakers Are ‘Throwing the Kitchen Sink’ to Halt Medicare Price Negotiations
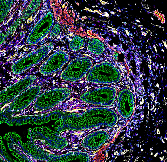
These ultra-detailed images show exactly what’s living in your gut – and it’s surprisingly beautiful by James Cutmore for ScienceFocus.com, 19 July 2023.
Specific cells within the gut were tagged with different colors to highlight different cell types. The green areas in this image are cytokeratins, a type of protein that enable cells to withstand mechanical stress during the digestion process. They are surrounded by immune cells (shown in magenta) and eukaryotic cell nuclei (shown in blue). The red areas show muscle tissue.
Rapid Reduction of HbA1c and Early Worsening of Diabetic Retinopathy? by Rafael Simo et al for DiabetesJournals.org, 10 July 2023.
Early worsening of diabetic retinopathy (EWDR) due to the rapid decrease of blood glucose levels is a concern in diabetes treatment. The aim of the current study is to evaluate whether this is an important issue in subjects with type 2 diabetes with mild or moderate nonproliferative DR (NPDR), who represent the vast majority of subjects with DR attended in primary care.
The psychology of ‘chronotypes’, as it’s known, largely backs up the popular image of early-rising, happy go-getters; though, as ever, the reality is a little more nuanced. The majority – around 60% – of us are not larks or owls, we’re an intermediate mix of the two. Another factor to consider is that chronotype isn’t just about the time you go to bed and get up in the morning, it’s also about your optimal time of functioning – larks tend to be at their best earlier in the day, while owls tend to function better later on, which could have obvious advantages for certain career paths involving evening work or night shifts.
As for who fits into which grouping, generally speaking, women more often tend to be of the lark or morning chronotype whereas men are more often the owl or evening chronotype. Age is another relevant factor. In adolescence, there’s a tendency to shift more toward the owl chronotype (no surprise there), but after adolescence, lark-like morningness tends to become more common with increasing age.
As for who is happier, many studies have indeed shown an association between being a morning person and greater happiness. For a recent example, consider a study of hundreds of medical students conducted at Dokuz Eylul University in Turkey – higher scores in morningness (ie, a self-reported preference for getting up early) were associated with scoring higher on a questionnaire measure of happiness.
What Lucille Ball and Einstein Can Teach Us About Overcoming Burnout by Miguel Villagra for MedPageToday.com, 15 July 2023.
In the demanding healthcare industry, physicians are frequently susceptible to burnout. The constant pressures, long hours, and emotional toll can be detrimental to one’s health. To support physicians (as well as T1Ds … and all of us) on their/our path to wellness, here is a collection of motivational quotes that can change their perspective and help them achieve their goals.
1. Unplug and recharge
-
-
- “Almost everything will work again if you unplug it for a few minutes, including you.” – Anne Lamott, writer
- “Feelings come and go like clouds in a windy sky. Conscious breathing is my anchor.” – Thich Nhat Hanh, Buddhist monk
-
TIP #1: Remember to take time to regain and recharge your energy. Disconnect from your duties, engage in enjoyable activities, and allow yourself to unwind. Embrace the peace of mind that comes with moments of solitude, privacy, and silence.
Tip #2: Remember to take time to breathe. using the 4-7-8 technique shown below: OR use the Donut Breathing video BELOW!
Close your mouth and quietly inhale through your nose to a mental count of four. Hold your breath for a count of seven. Exhale through your mouth, making a whoosh sound for a count of eight. Repeat the process three more times for a total of four breath cycles.
2. Prioritize wisely
-
-
- “The key is not to prioritize what’s on your schedule, but to schedule your priorities.” – Stephen Covey, author
- “In life, all good things come hard, but wisdom is the hardest to come by.” – Lucille Ball, actor
-
Amidst the chaos of daily automatic life and routines, it’s crucial to identify your top three priorities and align your schedule accordingly. Ensure that self-care, family time, and activities that bring you fulfillment are given their rightful place.
3. Embrace the unpredictable
-
-
- “Our anxiety does not come from thinking about the future, but from wanting to control it.” – Kahlil Gibran, writer
- “When one door closes, another door opens; but we so often look so long and so regretfully upon the closed door, that we do not see the ones which open for us.” – Alexander Graham Bell, inventor
- “In the middle of difficulty lies opportunity.” – Albert Einstein, physicist
-
Accept that there are circumstances beyond your control and learn to embrace them with curiosity and insight, ideally with a positive perspective. Shift your mindset to one of abundance and gratitude.
4. Find strength in helping others
-
-
- “A good way to overcome stress is to help others out of theirs.” – Dada J. P. Vaswani, Indian spiritual leader
-
Engaging in acts of service not only benefits those around you but also helps alleviate your own stress. Embrace the idea that you can make a difference in the lives of others while pursuing your goals and purpose.
5. Embrace limitations and cultivate inner strength
-
-
-
- “All the suffering, stress, and addiction comes from not realizing you already are what you are looking for.” – Jon Kabat-Zinn, founder of MBSR [Mindfulness Based Stress Reduction]
- “I think knowing what you cannot do is more important than knowing what you can.” – Lucille Ball, actor
-
-
Acknowledge your mental and physical limitations, and learn to say no when necessary. Cultivate gratitude and contentment with what you have, recognizing your inherent strength. Remember, you are exactly where you need to be, and your journey is unfolding as it should.
6. Try new things … Push yourself to do something new or different.
-
-
-
- “I’d rather regret the things I have done than the things that I haven’t.” – Lucille Ball, actor
- “A good way to overcome stress is to help others out of theirs.” – Dada J. P. Vaswani, Indian spiritual leader
-
-
7. Learn the art of identify, describe, and allow your emotions
-
-
-
- “Things said in embarrassment and anger are seldom the truth.” – Lucille Ball, actor
- “Rule number one is, don’t sweat the small stuff. Rule number two is, it’s all small stuff.” – Robert Eliot, writer
-
-
Emotions are biological signals designed to nudge you in the direction of change. However, we should question our emotions because they are not always right. Remember, problems (including with others) are inevitable, but what they mean is flexible.
8. Care less about what others think of you
-
-
-
- “I cured myself of shyness when it finally occurred to me that people didn’t think about me half as much as I gave them credit for. The truth was, nobody gave a damn. When I stopped being prisoner to what I worried was others’ opinions of me, I became more confident and free.” – Lucille Ball, actor
- “There is something you must always remember. You are braver than you believe, stronger than you seem, and smarter than you think.” – A.A. Milne, writer
- “I was always looking outside myself for strength and confidence, but it comes from within. It is there all the time.” – Anna Freud, psychoanalyst
-
-
Don’t worry about others’ opinions. Do hard things from a place of joy and abundance. Be the best version of yourself.
Read more: What Lucille Ball and Einstein Can Teach Us About Overcoming Burnout







It is no surprise that pharma is all in on stopping negotiation for prices. If I lived on the French Riviera and I sis not need to work, or earn money I feel pretty sure that I might fight to keep that life, if someone happened along to say hey dude, from now on you have to pay rent. Like lots of rent.
I would not like rent.
Re Volagidemab by Remd Biotherapeutics
I was a bit surprised to see the outdated term Juvenile Diabetes used.